Bay Area Dental | Dental Fillings, Veneers and Crowns

3300 Webster Street #907, Oakland, CA 94609
New Patients: (510) 214-8451
Existing Patients: (510) 350-8187

Smile Gallery

The image shows a close-up of an individual s teeth with visible yellowing, likely due to staining or discoloration, set against a blurred background that appears to be a person s face.

Before

The image shows a person with a broad smile displaying straight white teeth.

After

The image shows a close-up view of a person s teeth with yellowing, indicating possible dental issues such as tooth decay or staining.

Before

The image shows a close-up view of a person s mouth with teeth that appear yellowed and stained, likely due to tobacco use, and there are signs of gum disease or decay.

After

The image shows a close-up of a person s face with an exaggeratedly wide smile revealing teeth, and there is a visible gap between the upper and lower front teeth.

Before

An advertisement featuring a close-up of a man s smiling face with a focus on his teeth, which are highlighted by a bright smile.

After

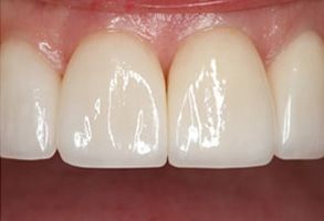
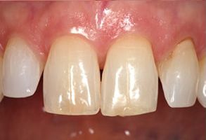
The image shows a close-up view of a person s teeth with a focus on dental implants, highlighting their natural appearance and the cleanliness of the mouth.

Before

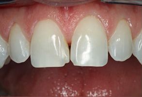
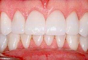
The image displays a close-up view of a person s mouth with a focus on their teeth, showcasing a bright smile with white teeth and a pink gumline.

After

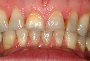
The image shows a close-up view of a person s teeth with visible yellowing and staining, indicating poor oral hygiene or potential dental issues.

Before

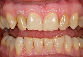
The image displays a close-up view of a person s teeth with visible stains and discoloration, which could suggest a need for dental care or cleaning.

After

The image shows a close-up view of a person s teeth with noticeable discoloration, likely indicating a need for dental care such as professional cleaning or whitening.

Before

The image shows a close-up of a person s teeth with a focus on their lower front teeth, which are white with a natural appearance.

After

An extreme close-up of a person s mouth with yellowed teeth and an unhealthy gum line, showcasing poor oral hygiene.

Before

The image displays a close-up view of a person s mouth showing their teeth with white fillings and a partial smile.

After

CONTACT

3300 Webster Street #907
Oakland, CA 94609
Email: bayareadental@dds4us.com

FOLLOW US ON

Office Hours

Monday: @ 8:00 am to 5:00 pm
Tuesday: @ 8:00 am to 5:00 pm
Wednesday: Closed
Thursday: @ 8:00 am to 5:00 pm
Friday: @ 8:00 am to 5:00 pm
(Every Other Week)
Saturday: Closed

The image shows a logo with the text  BAY AREA DENTAL  prominently displayed above a graphic representation of a dental tooth, which is stylized with a green apple on top. Below the tooth, there s a circular emblem featuring a toothbrush and dental floss. The background is gray, and the overall style appears to be a digital graphic or logo design.
The image shows a close-up view of a section of a gray surface with a watermark or logo overlaid on it, which appears to be a greenish hue, possibly indicating some form of branding or identification.